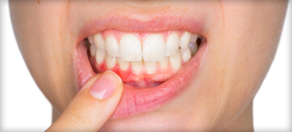
The Importance of Gum Health for Patients
When most people think of oral health, they think of their teeth — but your gums are just as important. Healthy gums are the foundation of a strong, confident, and beautiful smile. At Energy Dental in Houston, TX, we take gum health seriously. Whether you’re visiting for a routine cleaning, sedation dentistry, or a smile […]
The Importance of Gum Health for Patients Read More »










